Ta strona używa plików cookies.   
Polityka Prywatności    ×
Wczytywanie...


METAMORFOZY

ZOBACZ PRZYKŁADOWE METAMORFOZY NASZYCH PACJENTÓW

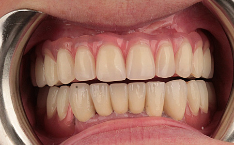
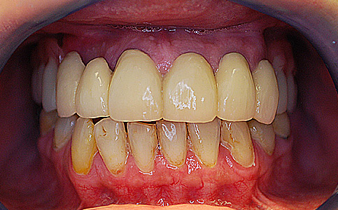
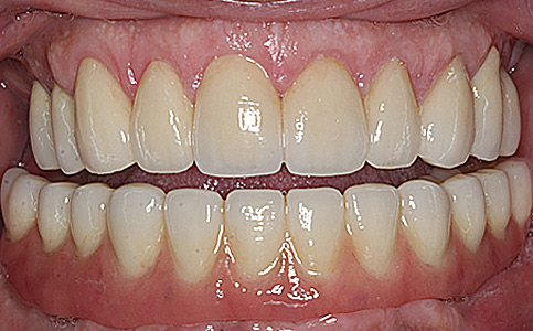
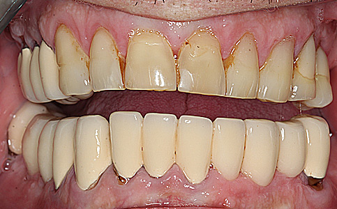
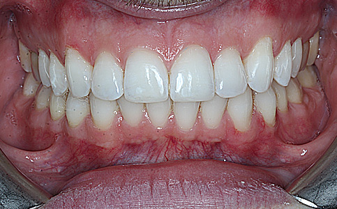
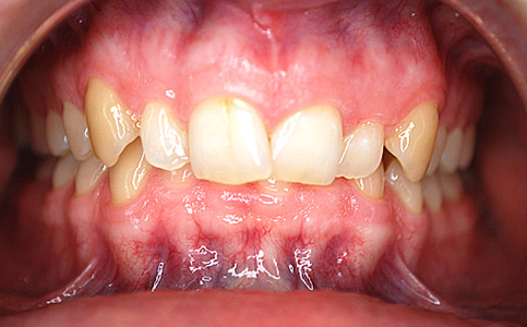
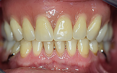
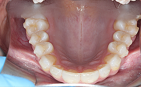
Pacjent zgłosił się do naszej kliniki ponieważ marzył o pięknym uśmiechu. Jego metamorfoza była wielospecjalistyczna. Pierwszym etapem było leczenie biologiczne, następnie uzupełnienie braków zębowych implantami oraz wykonanie koron pełnoceramicznych na zęby górne. Dzięki temu Pacjent odzyskał pewność siebie i zdrowy uśmiech.

Zobacz efekty przeciągając suwak w prawo lub w lewo.


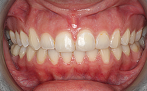
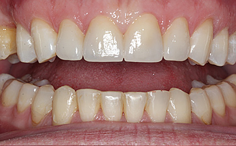
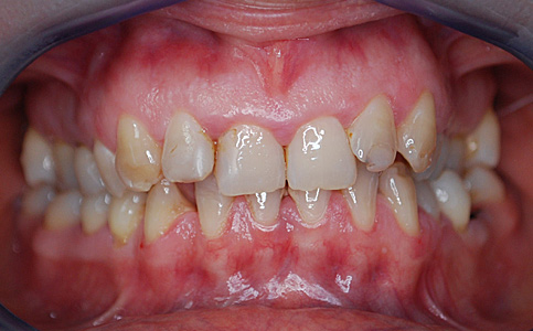
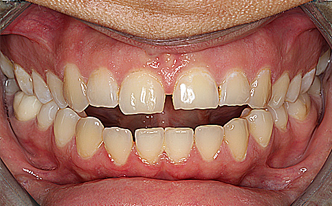
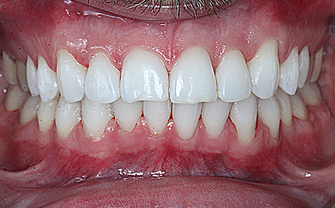
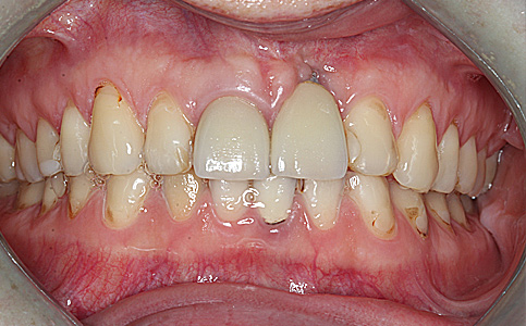
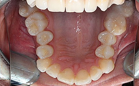
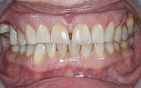
Dzięki koronom pełnoceramicznym w szczęce i żuchwie oraz uzupełnieniu braków zębowych implantami, pacjentka może znów się szeroko i pięknie uśmiechać.

Zobacz efekty przeciągając suwak w prawo lub w lewo.


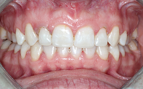
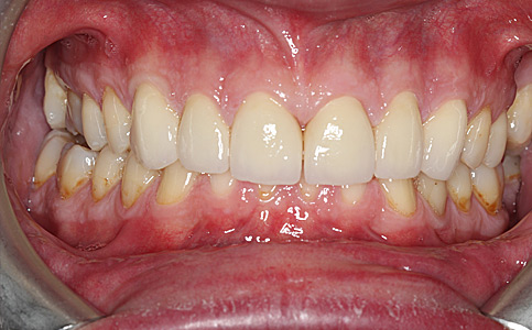
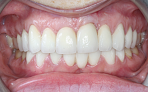
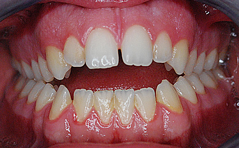
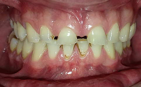
Pacjent zgłosił się z powodu niezadowalającego koloru i kształtu zębów, nie chciał także szlifować swoich zębów pod licówki/korony. Odpowiedzią na jego potrzeby był BONDING czyli estetyczna odbudowa kompozytowa. Przed wykonaniem BONDINGU pacjent był zdeprogramowany aby ustawić staw skroniowo-żuchwowy w dobrej i wygodnej pozycji, zostały odbudowane zęby tylne do kształtów anatomicznych oraz podniesienie w zgryzie aby móc estetycznie przedłużyć zęby przednie. Efekt leczenia sprawił że Pacjent opuścił nasze Centrum stomatologii i Ortodoncji z szerokim uśmiechem.

Zobacz efekty przeciągając suwak w prawo lub w lewo.


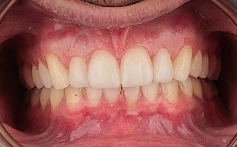
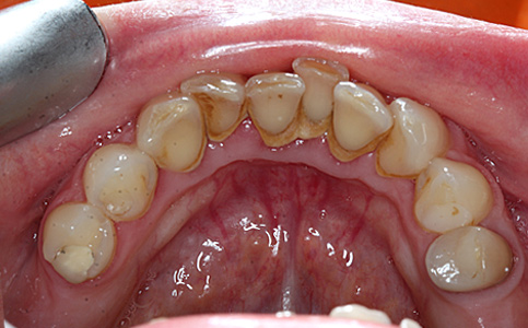
Kompleksowa metamorfoza naszego Pacjenta obejmowała leczenie ortodontyczne nakładkami invisalign oraz korektę zębów przednich BONDINGIEM- estetycznymi odbudowami kompozytowymi. Po zakończonym leczeniu Pacjent jest szczęśliwym posiadaczem pięknego prostego uśmiechu.

Zobacz efekty przeciągając suwak w prawo lub w lewo.


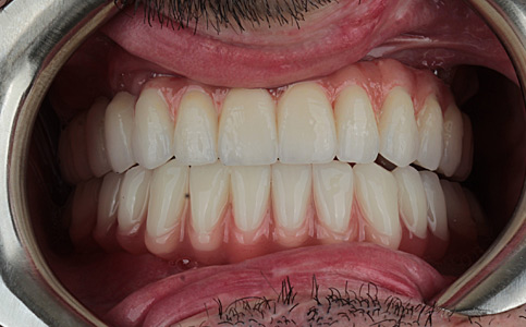
Przykład pełnej rehabilitacji protetycznej obejmujący leczenie biologiczne, uzupełnienie braków zębowych implantami oraz korony pełnoceramiczne w łuku górnym i dolnym. Spektakularna metamorfoza uśmiechu wykonana przez zespół Centrum Stomatologii i Ortodoncji FRESHmed odmieniła życie Pacjenta dodała pewności siebie i sprawiła, że z chęcią się uśmiecha.

Zobacz efekty przeciągając suwak w prawo lub w lewo.


Metamorfoza obejmowała pełną protetyczną rekonstrukcję zgryzu. W szczęce zostały wkręcone 4 implanty i wykonano estetyczną protezę całkowitą utrzymującą się na tytanowej belce, w żuchwie założono korony porcelanowe a braki zębowe zostały uzupełnione protezą na zatrzaskach. Dzięki tej zmianie komfort naszej Pacjentki się zdecydowanie poprawił i oprócz pięknego nowego uśmiechu odzyskała funkcje żucia.

Zobacz efekty przeciągając suwak w prawo lub w lewo.


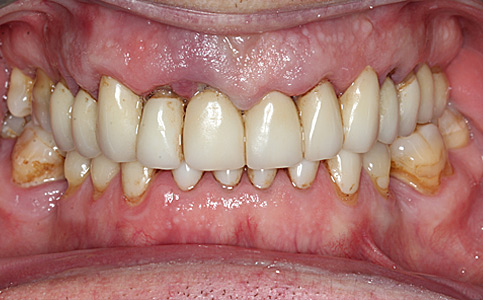
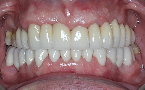
Pacjent stracił Swoje zęby w nieszczęśliwym wypadku parę lat temu zgłosił się do naszego Centrum Stomatologii i Ortodoncji FRESHmed aby odmienić swój uśmiech. Metamorfoza przedstawia pełną rekonstrukcje implantoprotetyczną łuków zębowych. W szczęce wszczepiono 6 implantów i założono most porcelanowy przykręcany. W żuchwie zostały wszczepione 4 implanty i została wykonana proteza przykręcana do belki tak aby odbudować zęby oraz ubytek kości. Pacjent po oddaniu pracy protetycznej nie mógł uwierzyć że to Jego nowe zęby był zachwycony.

Zobacz efekty przeciągając suwak w prawo lub w lewo.


Kompleksowa metamorfoza obejmująca leczenie zachowawcze, endodontyczne, wykonanie koron porcelanowych w górnym łuku zębowym oraz uzupełnienie braków zębowych.

Zobacz efekty przeciągając suwak w prawo lub w lewo.


Po leczeniu zachowawczym i ortodontycznym została wykonana plastyka dziąseł oraz małe korekty estetyczne kompozytem w odcinku przednim.

Zobacz efekty przeciągając suwak w prawo lub w lewo.


Pacjent chciał poprawić wygląd swojego uśmiechu, rozpoczęliśmy od wyleczenia próchnicy oraz leczenia endodotycznego i chirurgicznego. Następnie wypełniliśmy wszystkie braki zębowe za pomocą estetycznych koron i mostów.

Zobacz efekty przeciągając suwak w prawo lub w lewo.


Pierwszym etapem była deprogramacja zgryzu i wyleczenie ubytków próchnicowych, następnie ustabilizowanie nowej pozycji szczęki względem żuchwy i poprawa estetyki zebów z tego powodu założone zostały korony pełnoceramiczne.

Zobacz efekty przeciągając suwak w prawo lub w lewo.


Usunięcie kamienia nazębnego.

Zobacz efekty przeciągając suwak w prawo lub w lewo.


Po leczeniu ortodontycznym Invisalign wykonano korektę kształtu zebów przednich licówkami porcelanowymi.

Zobacz efekty przeciągając suwak w prawo lub w lewo.


Leczenie ortodontyczne klasy II typ II aparatem stałym DAMON oraz odbudowa estetyczna zębów przednich.

Czas trwania leczenia 2 lata.

Zobacz efekty przeciągając suwak w prawo lub w lewo.


Leczenie ortodontyczne - rozszerzenie łuku górnego aparatem INVISALIGN.

Czas leczenia 9 miesięcy.

Zobacz efekty przeciągając suwak w prawo lub w lewo.


Leczenie ortodontyczne aparatem stałym skomplikowanego zgryzu otwartego oraz estetyczna gingiwektomia po zakończeniu leczenia.

Czas leczenia 2,5 roku.

Zobacz efekty przeciągając suwak w prawo lub w lewo.


Leczenie ortodontyczne zgryzu otwartego aparatem DAMON. Po leczeniu ortodontycznym kosmetyczne dopasowanie kształtu koron siekaczy górnych.

Czas leczenia 14 miesięcy.

Zobacz efekty przeciągając suwak w prawo lub w lewo.


Po rehabilitacji stawu skroniowo-żuchwowego, leczeniu ortodontycznym, odbudowaliśmy pacjentowi wysokość zgryzu za pomocą koron pełnoceramicznych. Dzięki kompleksowemu leczeniu efekty leczenia będą się długo utrzymywać a przewlekłe migreny ustąpiły.

Zobacz efekty przeciągając suwak w prawo lub w lewo.


Braki zębowe uzupełniono mostami porcelanowymi a na zęby przednie górne i dolne zastosowano bonding ( odbudowy estetyczne kompozytowe ). Dzięki tej metamorfozie pacjentka odzyskała pewność siebie.

Zobacz efekty przeciągając suwak w prawo lub w lewo.


Na ilustracji po prawej stronie prezentujmey odbudowę kompozytową brzegu siecznego.

Zobacz efekty przeciągając suwak w prawo lub w lewo.


Po leczeniu próchnicy, usunięto korzenie zębów i wykonano pełną rehabilitacje zgryzu pracą protetyczną kombinowaną na koronach teleskopowych.

Zobacz efekty przeciągając suwak w prawo lub w lewo.


Po higienizacji, leczeniu endodontycznym i zachowawczym, wykonano prace protetyczną na zatrzaskach kulowych, gdzie korzenie zębów stanowią idelane utrzymanie protezy.

Zobacz efekty przeciągając suwak w prawo lub w lewo.


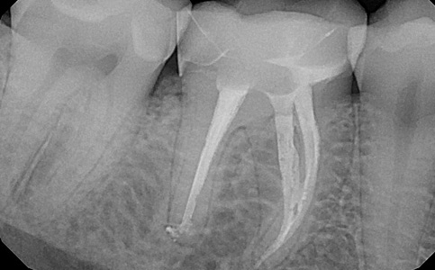
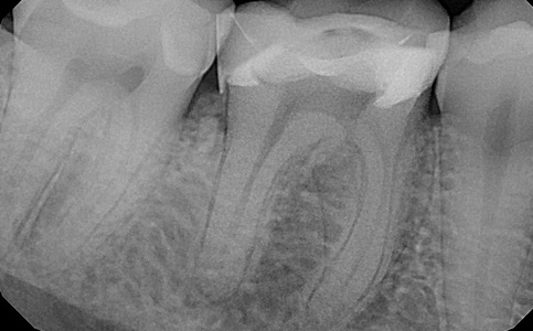
Po dokładnej diagnostyce ząb zakwalifikowano do leczenia endodontycznego. Leczenie przeprowadzane zostało przez naszego specjalistę pod mikroskopem.

Zobacz efekty przeciągając suwak w prawo lub w lewo.


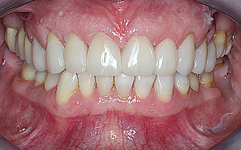
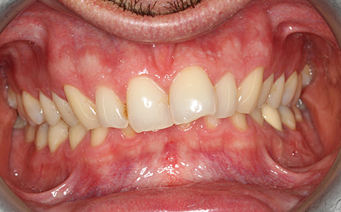
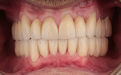
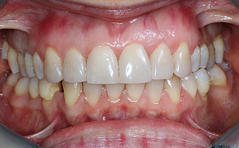
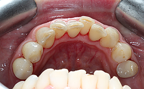
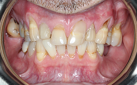
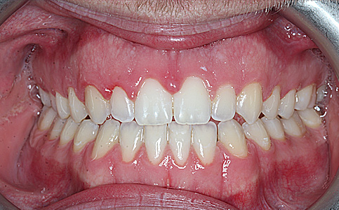
Pacjent zgłosił się do naszego Centrum stomatologii i Ortodoncji FRESHmed w Katowicach w celu poprawnia estetyki swojego uśmiechu. Po konsultacji i dokładnej diagnostyce, usunięto zęby dolne z powodu duzej ruchomości. Zęby zostały zastąpione 6 implantami zębowymi, na których odbudowano cały łuk zębowy dolny metodą All-on-6. Poprawę kształtu i koloru zębów górnych uzyskano poprzez zacementowanie koron pełnoceramicznych.

Zobacz efekty przeciągając suwak w prawo lub w lewo.


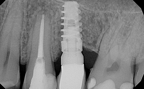
Przykład uzupełnienia pojedynczego braku zęba implantem. Implant imituje korzeń zęba, który w połączeniu z koroną protetyczną tworzy pełnowartościowy ząb.

Zobacz efekty przeciągając suwak w prawo lub w lewo.

Opinie